Обратный звонок
Оставьте свои контакты и мы вам перезвоним.
Пластика мягких тканей полости рта: от коррекции десневой улыбки до устранения рецессий (практический курс)

- Зубосохраняющие вмешательства: микрохирургический подход
- Модуль I. Работа с мягкими тканями при увеличении объема кости (теория)
- Модуль I. Работа с мягкими тканями при увеличении объема кости (практический курс)
- Модуль V. Работа с мягкими тканями при увеличении высоты альвеолярного гребня (практический курс)
- Модуль V. Работа с мягкими тканями при увеличении высоты альвеолярного гребня (теория)
- Нехирургическое пародонтологическое лечение малоинвазивный подход
- Имплантология. Базовый курс
- Синус-лифтинг
- Пластика мягких тканей полости рта: от коррекции десневой улыбки до устранения рецессий (теория)
- Челюстно-лицевая боль и нарушение функций слюнных желез
НОВЫЙ ФОРМАТ! ПРЕЗЕНТАЦИЯ КНИГИ, КОНФЕРЕНЦИЯ И ПРАКТИЧЕСКИЙ КУРС В ОДНОМ МЕРОПРИЯТИИ!
Курс основан на 30-летнем клиническом опыте и 20-летней практике в области пластической пародонтологической хирургии.
Автор трех монографий по пластике мягких тканей полости рта:
«Десневая улыбка: междисциплинарный подход» («Gummy smile: a multidisciplinary approach») до сих пор сохраняет актуальность,
«Устранение рецессий десны: сложные подходы» («Root coverage: challenging concepts») переведена на несколько языков, в том числе на русский,
Атлас «Пластическая пародонтологическая хирургия» («Periodontal plastic surgery») был опубликован в 2024 г., посвящен коррекции десневой улыбки, устранению рецессий десны и улучшению контура мягких тканей в области имплантатов.
Курс позволит лучше понять подходы к устранению дефектов мягких тканей в области зубов и имплантатов, а также научиться выявлять возможности и ограничения различных методов.
Программа курса:
• Настоящее состояние пластической пародонтологической хирургии
• Фенотип пародонта
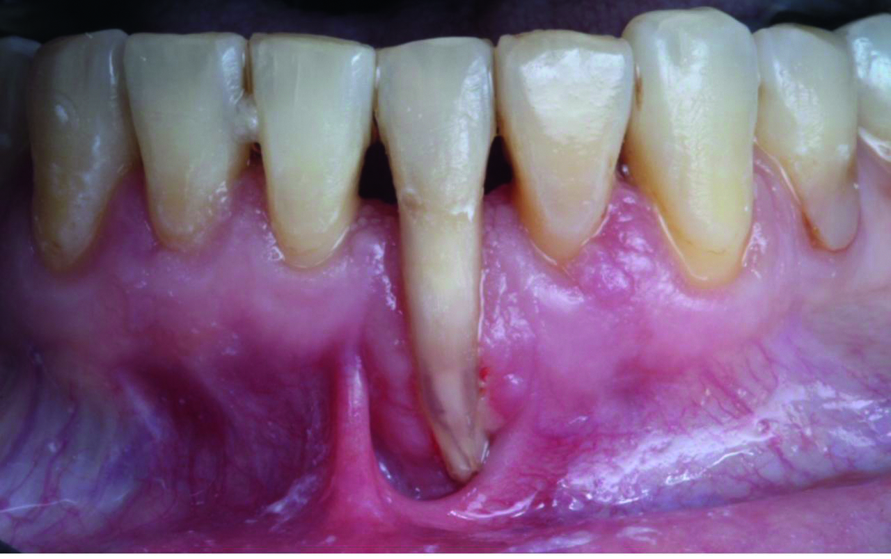
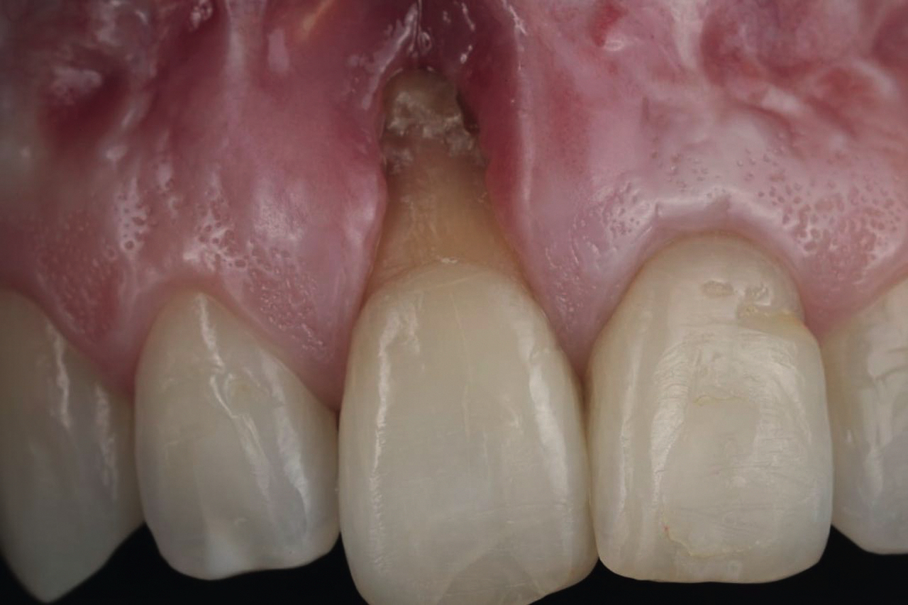
• Рецессии десны: причины и диагностика
• Устранение рецессий: анкетирование
• Хирургические методы устранения рецессий
• Соединительнотканный трансплантат (СТТ)
• Получение СТТ
• Твердое небо и бугор верхней челюсти
• Защита донорской области
• Заменители СТТ
• Комбинация ортодонтического и пародонтологического лечения
• Синдром проволоки
• Устранение рецессий десны в области передних зубов нижней челюсти
• Пластика мягких тканей в области имплантатов
• Осложнения
• Обсуждение клинических случаев













Оставить отзыв
Отзывов пока нет.